AESTHETIC AND RESTORATIVE DENTISTRY COURSE
JOIN THE LATEST REVOLUTION IN AESTHETIC DENTISTRY WITH DR. RAJAT SACHDEVA
Interdisciplinary dentistry is one of the most popular and fulfilling dental fields. Current patient demands increase the needs for dentists to increase knowledge and skills in sound restorative options that result in natural looking rehabilitated dentitions. It is almost mandatory for every practicing clinician to learn and acquire skills in aesthetic and restorative dentistry.
Dr. Rajat Sachdeva’s dental institute has been a pioneering institution with an international reputation. It has contributed to the career advancement of over 100 dentists in India and abroad. Our institution is now providing a certificate course in aesthetic and restorative dentistry to its students.
This program offers a thorough explanation of the most important topics of multidisciplinary aesthetic dentistry, and ample hands on training in skills lab and clinic. The course is specially designed for dentists who wish to remain at the cutting edge of contemporary dentistry, and to be able to meet and deliver with confidence, the restorative needs of patients with high aesthetic expectations.
We have designed the course in such a way that special emphasis is placed on acquiring knowledge, understanding and skills in the areas of aesthetic restorations, contemporary biomaterials plus evidence-based clinical procedures and techniques.
Why choose this course?
Our institute has designed this course to provide on-point study of important topics in the subject with a good amount of hands-on training. This course will definitely connect the dots for you and can enhance your career graph. The program can improve the participant’s prospects of moving to better dental practices, setting up their own dental practices, progressing to full-time post-graduation degree and specialty training programs, or developing a career in teaching.
Aims
This course aims to:

Course objectives
The following competencies are expected to be learnt at the completion of this one month course
Course Highlights
COURSE WORK
The teaching and learning methodology in this course will be achieved through lectures, step-by-step patient case presentations, ample hands-on training (in both skills laboratories and clinic), video demonstrations of clinical procedures, and textbook / current literature compilation (provided). There is an excellent instructor-student ratio for the hands-on exercises.
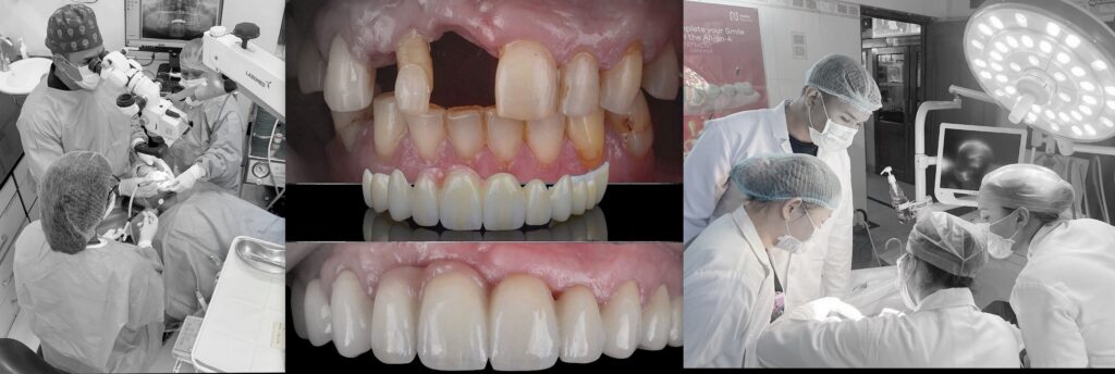
Our state-of-the-art facilities at Dr. Rajat Sachdeva allows trainees to practically and safely refine skills, and work in conditions that mimic real-life practice. Our clinic is also equipped with dental microscopes to aid identification of anatomical imperfections and the quick detection of enamel and dentine fractures.
Course curriculum
Aesthetic dentistry is a multidisciplinary branch and requires expertise in the fields of conservative dentistry, endodontics, prosthodontics and orthodontics. For the ease of understanding, we have divided the entire program into 8 modules wherein we have covered every important topic to be dealt with.
- Dental materials – science behind it
- Bleaching
- What is Bleaching?
- Why do we need Bleaching?
- History and Categories of Bleaching
- Types of Bleaching
- Office Bleach
- Home Bleach
- Mechanism of Bleaching
- Vital and Non-vital Bleaching
- Problems with Bleaching
- Advantages & Disadvantages of in-office Bleach
- Management of Sensitivity after Bleaching
- Prognosis after Bleaching
- Home applied technique
- Precautions and instructions
- Isolation and rubber dam placement
- Composites restoration
- Introduction to composites
- Conventional
- Microfilled
- Hybrid
- Shade selection and tooth preparation for composites
- Designs for tooth preparation
- Indications and contraindication for composites
- Prevention of shrinkage and discoloration
- C factor
- What are bonding agents?
- The classification of bonding agents based on generations
- How to apply bonding agents clinically
- DIASTEMA CLOSURE
- Introduction for esthetic procedures
- Isolation
- Shade selection
- Usage of matrix band
- Polishing the restoration to prevent discoloration
- REPAIR OF ELLIS FRACTURES
- Proper treatment planning
- Shade selection
- Isolation
- Tooth preparation
- Restoration
- Polishing the composite
- INLAY AND ONLAY
- Introduction on appropriate treatment
- Cavity preparation for inlay and onlay
- Impression making
- Fixing the restoration
- Chair side inlay restoration
- Post & Core ( Aesthetic Post )
- FIXED PARTIAL DENTURE ( crown and bridge )
Anterior Tooth Preparation (metal free restorations)
- Diagnosis and treatment planning
- Armamentarium required
- Steps in tooth preparation
- Gingival retraction
- Techniques
- Materials
- Demonstration
- Impression in FPD
- Materials
- Techniques
- Putty wash
- Custom tray
- Demonstration
- Temporization in FPD
- Direct method
- Materials
- Demonstration
- Material science
- Discussion on ceramics
- CAD/CAM in dentistry
- Application in our clinics
- Shade selection
- Color science
- Latest advancements
- Cementation in FPD
- Materials
- Procedures
Posterior Tooth Preparation
- Diagnosis and treatment planning
- Armamentarium required
- Steps in tooth preparation
- Gingival retraction
- Techniques
- Materials
- Demonstration
- Impression in FPD
- Materials
- Techniques
- Putty wash
- Custom tray
- Demonstration
- Temporization in FPD
- Direct method
- Materials
- Demonstration
- Material science
- Discussion on ceramics
- CAD/CAM in dentistry
- Application in our clinics
- Shade selection
- Color science
- Latest advancements
- Cementation in FPD
- Materials
- Procedures
- History and evolution
- Indications/contraindications
- Types
- Direct and Indirect
- Armamentarium
- Design considerations
- Steps in tooth preparation
- Isolation and soft tissue management
- Impression making
- Shade selection
- Temporization
- Trial and luting of restorations
- Precaution and maintenance
SMILE DESIGNING
INTRODUCTION : GOALS OF SMILE DESIGNING
COMPONENT OF AN AESTHETIC SMILE
- The basic shape of the face
- Square
- Tapering
- Square tapering
- Ovoid
- The lateral profile
- Straight
- Convex
- Concave
- Vital elements of smile designing and their role (dental composition)
- Tooth components
- Dental midline
- Incisal lengths
- Tooth dimensions
- Zenith points
- Axial inclinations
- Interdental contact area (ICA) and point (ICP)
- Incisal embrasure
- Sex, personality and age (Dentogenic concept)
- Symmetry and balance
- Soft tissue components
- Gingival health
- Gingival levels and harmony
- Interdental embrasure
- Smile line
- Golden proportion (Lombardi),
- Recurring esthetic dental proportions (Ward),
- M proportions (Methot) and
- Chu’s esthetic gauges.
- Soft tissue component of smile design
- Gingival health
- Interdental embrasure (cervical embrasure)
CLINICAL STEPS
- Diagnosis and treatment planning
- Importance of diagnostic waxup
- Anterior deprogramming devices
- Shade selection
- Tooth preparation
- Soft tissue management
- Impression making
- Temporization
- Trial and luting of final restoration.
- PREPARATION & RESTORATION TECHNIQUES
- Class I, Class II, Class V cavity design for composite
- Sandwich technique in deep cavity cases
- Retention features in cavity
- Prevention from shrinkage (from light and material part)
- Common problem with composites
- Matrix band placement
- Polishing
- Tooth jewelry
PERIO AESTHETICS & IMPLANT AESTHETICS
- Interdisciplinary approach-Implant Aesthetics, Perio Aesthetics, Ortho Aesthetics
- Detailed understanding of Basic Periodontal aesthetics
- Gingivectomy and gingivoplasty
- Gum depigmentation techniques
Key benefits
Choose the Best Aesthetic Dentistry Courses in India at Dr Rajat Sachdeva Dental Insititue
Smile transformation and making them more beautiful and aesthetic. Do you wish to learn more about how aesthetics of a patient can be transformed to something that is beautiful and right for each patient? Do you wish to expand your career in the field of aesthetic dentistry? Do you wonder what it would be like to change smiles of patients and bring them confidence?
If the answer to the above question is swayed towards a ‘yes’. Then you have come to the right place and should join the Dr. Rajat Sachdeva’s Dental Institute based in Delhi, India & expand your clinical skills by pursuing in aesthetic dentistry courses. Doing this course with this Institute’s experienced pool of dentists and mentors you get the latitude to learn from ocean of their knowledge and experience gained over the years. Hands on experience with the state-of-the-art equipment while shadowed by international recognised consultants.
Aesthetic dentistry aka Cosmetic dentistry is a branch of dentistry that involves improving the smile of patients via changing the shape, size, color and shade of the teeth in order to enhance the overall appearance of the tooth while working on the gums too. The primary purpose of dentist in aesthetics is to keep the teeth well aligned, improve the structure and beautify their color and shape so that the patient can smile with confidence.
The world today places a lot of emphasis on general aesthetics, where a grin is important. A large portion of the population pays close attention and is very concerned about having flawless, aesthetically pleasing teeth.
One of many general dentists who participated in the fellowship course of aesthetic dentistry highlighted, “Fellowship in Aesthetic Dentistry at Dr. Rajat Sachdeva Dental Institute is a great and honoured opportunity to expand my skills and learn from the very best and renowned pool of dentists. They have an unmatchable experience regarding cosmetics and defining multiple cases. Shadowed mentoring and strength to solve all kinds of cases gave me the expanded experience to solve different cases. At the end of the course I have learned all treatment approaches for improving the smile of a patient.” – Student, Dr. Rajat Sachdeva Dental Institute.
Courses learning outcome
The certificate course of Aesthetic Dentistry aim to:
a) Giving you the tools and information you need to deliver top-notch, functional dental care with a focus on aesthetic value.
b) Presenting organised, sequential clinical processes, dental supplies, and conceiving treatment regimens.
c) The course includes the fundamentals as well as up-to-date methods and practical experience in tooth preparation, bleaching, composite restorations, diastema closure, tooth jewellery, repairing Ellis fracture, dental laminates and veneers, shade mapping, rubber dam, gingival retraction, bite registration, inlays and onlays, provisional & cementation, and other topics.
d) Disseminating information in a methodical manner about contemporary developments in cosmetic dentistry. Designing a digital grin, creating a mockup in a day, and transferring a digital smile.
Our promise to you
By enrolling in Delhi’s most prestigious dental school, Dr. Rajat Sachdeva Dental Institute, you will be able to coordinate a sound treatment plan using the dental knowledge of literature that you will have learned and shared during the certificate programme. You’ll be able to accomplish the following when the course is over:
a) Capable of performing the treatment with greater assurance and understanding and providing patients with top-notch dental care that promotes their personal growth.
b) Seek advice on how to improve patient satisfaction and contentment levels by incorporating cosmetic dentistry treatments into your practise as effectively as possible.
c) Gain a deeper comprehension of the ideas and techniques around direct and indirect restorations in aesthetic dentistry.
d) Gain a better understanding of how to combine various dental disciplines to achieve more attractive results.
Why choose our Institute?
a) Small class size
b) Rolling admissions
c) Exposure to experience – building practicums
d) One on one learning experience
e) Hands-on practice on patients
f) State-of-the-art equipment
g) Post course mentorship
h) Live demonstrations
i) Separate doubt session for each case
I’m interested!
What are the next steps?
Use our form to contact our friendly admissions staff to find out more about our PG Certificate course on Aesthetic Dentistry, including start dates, admissions requirements and more. We’re here to answer any questions you may have and look forward to showing you how Dr. Rajat Sachdeva’s Dental Institute can put you on the path to academic and career success!
Join Aesthetic & Restorative Dentistry Courses Now









































