Periodontology: Masterclass in Periodontics
Perio life and aesthetics- “A practical approach to periodontics”
During dental treatment which is the most basic part considered for aesthetic and therapeutic purpose? Is it periodontal? If you ever had gingival disease or you had thought of going for implant or you have bone loss near your teeth then only a periodontist or a periodontal specialist or any other dental practitioner who have a good knowledge in periodontics will help you with this problem. If patients are not in a good periodontal health then there will be no use of any restoration or any prosthesis.
As a dental practitioner, if you have any difficulty in dealing with the periodontal disease or you want to get basic to advance knowledge of periodontics so that you can 100% satisfy your patient.
The emphasis will be on diagnosis, treatment planning and clinical management, as well as the role of periodontics in the daily clinical practice.
You’ll also develop relevant clinical skills through the hands-on elements of the program.
The aim of our course is to implement quick learning in dental practice and enable general dental practitioners in diagnosing, planning and performing the basic to advance periodontal procedures.
Course aims
The aims of this course are to:
- Give you a comprehensive introduction to periodontology in both non-surgical and surgical therapy, emphasizing the biologic and clinical concepts through clinical cases backed with evidence based approaches
- You will get to know the importance of periodontics and its role in daily clinical practice as well as in multidisciplinary settings
- Further your understanding of treatment planning and management of patients with periodontal diseases, including implant as an option in patients with history of periodontal diseases.
- Improve/sharpen your clinical skills in diagnostic, non-surgical and surgical aspects of periodontology.
Learning outcomes:
By the end of the course you will:
- Have enough confidence in diagnosing and managing the clinical cases of periodontal disease.
- Able to incorporate your knowledge and skills in your treatment planning and executing it clinically
- Get to know when there is need for specific periodontal treatment and when to refer to a specialist
- Have an overall idea on the flow of treatment phases in periodontics and the approximate result of the procedure.
Teaching plan
- The course will be conducted every day from 10:00am to 5:00pm.
- You will have lectures on the biological, clinical concepts in periodontology with evidence of literature for every topic.
- Hands on session after every lecture
- Question and Answer session at the end of the day
Clinical Periodontology
A 4 days short course offering elaborate knowledge in periodontal management in clinical practice for periodontally-disease and periodontally-healthy patients for improved patient care.

The course aims to implement quick learning in dental practice and enable general dental practitioners to diagnose, plan and perform periodontal procedures, non surgical and surgical treatments to both the periodontally-diseased and periodontally-healthy patients.
Clinically, Candidates will learn -
- Diagnosis, treatment planning and management of patients with pocket and other periodontal diseases
- Periodontal examination and indexing of case
- Chair positioning
- Use of Ultrasonic scalers, Gracey curettes and Air polisher
- Clinical tips for painless scaling and polishing
- Pocket debridement: Surgical and non-surgical
- Demo on periodontal armamentarium & instrumentation
- Flaps: Full & Partial thickness flap, Case Selection and use
- Guided tissue regeneration: Different bone graft and grafting Procedures
- Incision designing and flap Elevation
- Suturing techniques.
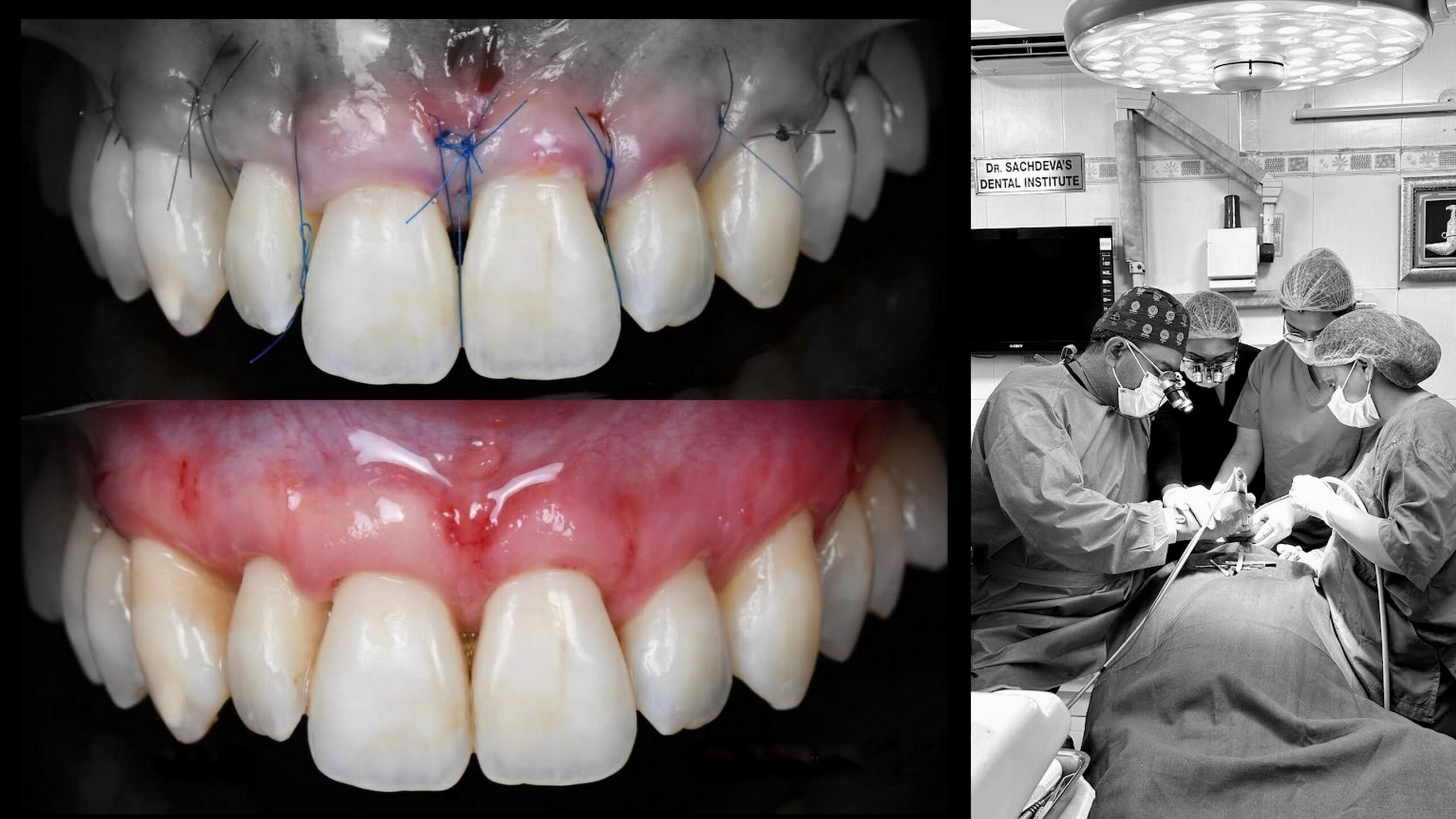
- Live-surgeries and demo on Periodontal flap, Bone Grafting and Barrier membranes
- Crown lengthening
- Gingival depigmentation (Gum Bleaching)
- Frenectomy,Vestibuloplasty, Operculectomy, Gingivectomy & Gingivoplasty
- Management of peri-implantitis
- Use of growth Factors in periodontology- PRP and PRF
- Scope of Periodontology
- How to differentiate gingival and periodontal conditions
- Therapeutic intervention of the initial cause
- Treatment planning: How and When
- Non-surgical Periodontics:
- Scaling, Root planning, Curettage: Rationale, Indications, Contraindications
- Tips for efficient debridement
- Surgical Periodontics:
- Rationale of surgery: Why and when it is needed
- Indications and contraindications
- Periodontal maintenance: When and how to determine time for follow up after different periodontal procedures
- Sterilization and Asepsis
- Periodontal prognosis: To save or extract a periodontally compromised tooth
- Hands On :
- Treatment planning with Radiographs & study models
- Demo on the following :
- Armamentarium & Instrumentation
- Ultrasonic scalers
- Gracey curettes
- Air polisher
- Cleaning tools (interdental brushes/floss)
- Gingival Recession: Aetiology and Management
- Rationale & Principles of Periodontal Surgery
- Flaps:
- Incisions & Designs
- Full & Partial thickness flap: Case Selection and uses
- Basics Periodontal Flaps
- Overview of different surgical procedures in periodontics
- Sutures and Suturing Techniques
- Suture materials: When and How
- Suturing techniques: Indications in different clinical scenarios.
- Hands-On:
- Flap: Incision & Flap Design and Flap Elevation
- Suturing techniques
Hard tissue augmentation:
- Bone Graft: Its importance, Types, Case selection
- Grafting techniques: Indications and Contraindications
- Complication of bone grafting
- How to ensure foolproof bone grafting?
Barrier Membranes
- Different types of barrier membrane
- Rationale, indications and contraindications
- Techniques of placement
COE-PACK- Use & Applications
Live Demo On:
- Modified Widman Flap
- Kirkland Flap operation
- Bone Graft: Graft materials, Techniques and barrier membrane
- Laser in periodontology
- Crown lengthening
- Gingival depigmentation- Techniques
- Frenectomy
- Operculectomy
- Gingivectomy & Gingivoplasty
- Oral implantology:
- Implant placement in periodontal patient
- Treatment of peri-implantitis
- Preparation and use of growth Factors in periodontology- PRP and PRF
Live Demonstration Of:
- Crown lengthening using Lasers
- Preparation of PRP and PRF.
DISCUSSION & CONCLUSION
Candidates will be encouraged to bring cases to discuss. There will also be Q & A sessions.
LEARNING OUTCOME
By the end of the course, the candidate should:
Feel confident in diagnosing and managing straightforward clinical cases with periodontal diseases
Rule out indications for specific Periodontal procedures
Be able to blend the learn knowledge and techniques in treatment plan and clinical management.
STRUCTURE AND TEACHING
- Lectures will cover the biological and clinical concepts
- Practicals and Hand-on in the afternoon and lectures in the morning
- Q & A at the end of the day for each session
- Discussion of cases brought by the participants on the last day of the course.
















